
强直性脊柱炎是一种原因不明的全身性慢性疾病,被称为“不死的癌症”,演艺圈一些知名艺人也是这个棘手疾病的患者。
强直性脊柱炎主要侵犯脊柱并累及骶髂关节和周围关节,引起强直和纤维化,导致严重的脊柱畸形和关节强直,全脊柱呈“竹节样”融合改变。随着病程的进展,脊柱的弹性、顺应性逐渐降低,同时长期的慢性炎症导致骨质疏松、骨脆性增加,使得强直性脊柱炎患者发生骨折的风险显著高于正常人。
当强直性脊柱炎患者遇上颈椎骨折,情况就变得更为棘手了。

摔倒昏迷
40多岁的张先生,自述有20余年强直性脊柱炎病史。3月的一天,张先生不慎后仰摔倒,肩部着地后头部着地,当即昏迷。被120送至外院后进行了头部皮肤裂伤换药包扎、导尿等处置,约两个小时后意识恢复。清醒后感觉颈肩部疼痛明显,活动受限,双手拇指麻木、有刺痛感,活动颈部时颈背部至肛门区都有明显放射性疼痛、麻木感觉,就像“过电”一样。3天后,患者到北京德尔康尼骨科医院急诊挂号就诊。
检查确诊


经过查体发现,张先生颈椎C4-7棘突间轻压痛、叩击痛,椎旁轻压痛。双手拇指皮肤触觉、针刺觉减弱,双侧霍夫曼征阳性,颈椎JOA功能评分15分(满分17分)。
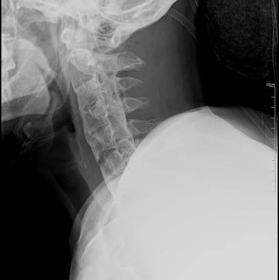
颈椎CT检查确认,患者颈椎曲度变直,符合强直性脊柱炎改变;颈C5-6对位欠佳,颈C6椎体及双侧上关节突有骨折可能。颈部核磁检查确认,患者颈C6椎体压缩性骨折,颈C6椎体上关节突骨折,颈C5椎体骨挫伤,颈段椎旁软组织损伤。
综合查体和影像学检查,患者以“颈椎骨折(C5/6)、强直性脊柱炎”收入我院,拟行手术治疗。
手术治疗


入院后,我院张大明主任为患者进行了骨折复位植骨融合内固定术。术后予预防感染、消炎止痛等对症治疗。
术后第1天,患者双手麻木感较前改善,活动时颈背部“触电感”消失。术后第3天,患者双手拇指皮肤触觉、针刺觉减弱现象明显好转,双侧霍夫曼征阴性。术后第11天,经医生综合评估,患者恢复顺利可出院。术后1个半月、3个月来我院复查,患者均恢复良好,颈背部不适症状完全消失,恢复到正常生活状态。
北京德尔康尼骨科医院医生提醒,强直性脊柱炎患者由于椎旁韧带和椎间盘骨化、骨质量差,整体脊柱关节活动功能基本丧失,一旦受到外力,哪怕是常人看来轻微的外力,也会使得局部应力过大,造成脊柱骨折,出现慢性疼痛、骨折不愈合。所以强直性脊柱炎患者往往被称为“瓷瓶子”。一般来说,强直性脊柱炎患者遭遇脊柱骨折后有手术治疗的必要性。通过手术,给予坚强内固定,重建颈椎稳定性,保证复位质量,为神经功能恢复创造条件。
投稿:北京德尔康尼骨科医院 赵元松
审稿:北京德尔康尼骨科医院 张大明


![]()